Now scheduling Q3 2026 Act 586 · Ambulatory Care Centre

A specialist diagnostic imaging clinic that shows you what is inside.

A purpose-built MRI and preventative-screening clinic in Johor Bahru, founded on a simple discipline: scan thoroughly, read carefully, explain everything in plain language — including what we do not find.

Compare packages
By appointment only · One guest per magnet, no overlap

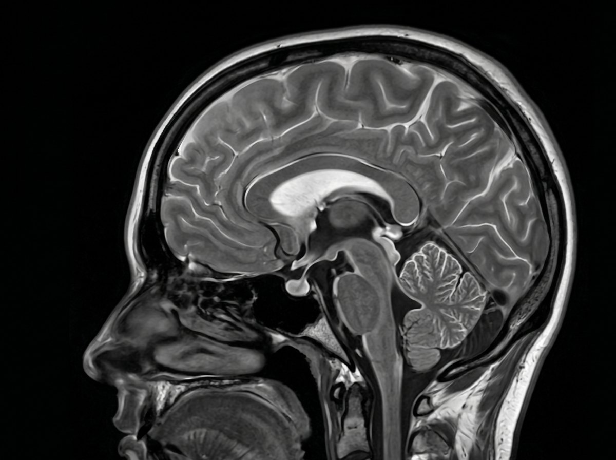
Reference scan · Comprehensive Tier

SCAN-25.04 · DEMO
Sagittal T2-weighted MRI — illustrative reference only, not an AEVUM patient scan
SAGITTAL · T2W 3.0T · 0.7mm slice
SIEMENS MAGNETOM VIDA SE-1287 · 04/26
ModalityMRI · 3.0 Tesla
Coverage (Comprehensive)Head → Pelvis
Slice resolution≤ 1.0 mm
Reading radiologistConsultant on duty
Report turnaroundSame day
A quiet corner of the AEVUM guest lounge — natural daylight, a linen-cushioned bench, a single tote on a brushed-brass hook.
Inside · guest lounge

An unhurried, residential feel. No clipboards at the door, no fluorescent glare overhead.

Placeholder · pre-build facility imagery
Regulated & accredited by
MOH · Act 586 Ambulatory Care Centre
MDA · Act 737 All devices registered
US FDA / EU CE Manufacturer approval
MSQH Accreditation in pursuit
01 / The clinic

What a specialist diagnostic clinic should look like in 2026.

/ § 01.01 Founding principle

AEVUM exists because preventative full-body MRI screening — an effective and well-validated clinical tool when used correctly — has been packaged and sold poorly by most of the global market. Some clinics overpromise, some quietly omit findings, some leave the patient with a one-page summary slip and no one to call.

We have built our practice on the opposite discipline: thorough scans, double-read by named consultant radiologists, explained to you in person for a full sixty minutes, with an honest accounting of what we found, what is benign, what merits a follow-up, and what we cannot conclude from imaging alone.

"A scan is a starting point. The conversation that follows is what determines whether it was useful."

— founding operating principle, AEVUM, 2026

The clinic is regulated under Malaysia's Private Healthcare Facilities Act (Act 586). Every magnet and the CT scanner are registered with the Medical Device Authority. We are pursuing voluntary MSQH accreditation — Malaysia's equivalent of JCI — from year one.

What we look for · scope of practice

~500
conditions detectable by full-body MRI screeningincl. early-stage tumours, aneurysms, structural abnormalities
3%
of asymptomatic full-body scans surface a finding that warrants follow-upcohort literature: Hegenscheid 2013, Lee 2024
~32%
surface a benign incidental finding — managed in our 60-min consultto prevent unnecessary diagnostic cascade
≤ 1mm
slice resolution on Siemens MAGNETOM Vida 3.0TFDA / CE / MDA approved
02 / The specialist team

Our consultant radiologists. Listed publicly, registered with the MMC.

/ § 02.01 Practitioners on register · Act 586 disclosure
A radiologist's gloved hands holding a printed sagittal MRI film to window light — illustrative, no identifiable face.

Dr. Aminah Lim

Chief Radiologist · Medical Director
  • MBBS (NUS), MMed (Diagnostic Radiology)
  • FRCR (UK)
  • Areas of clinical practice: body imaging, oncologic MRI
  • MMC Reg. No. pending registration
A radiologist's gloved hand pointing at an axial brain MRI on a high-resolution monitor — illustrative, no identifiable face.

Dr. Rajesh Balachandran

Consultant Radiologist
  • MD (Manipal), DNB (Radio-diagnosis)
  • Fellowship: MR Neuroradiology (Toronto)
  • Areas of clinical practice: neuroimaging, brain volumetrics
  • MMC Reg. No. pending registration
A radiologist in a white coat at a backlit film-viewing station, photographed from behind — illustrative, no identifiable face.

Dr. Marcus Tan Wei Liang

Consultant Radiologist
  • MBBS (UM), MMed (Diagnostic Radiology)
  • Fellowship: Cardiac MRI (RBWH, Brisbane)
  • Areas of clinical practice: cardiac and thoracic imaging
  • MMC Reg. No. pending registration
Double-read protocol. Every Comprehensive, Legacy Ultimate, and Legacy Platinum scan is independently read by two consultant radiologists on duty before findings are released. Discrepancies are resolved in joint review. The reading consultant conducts the post-scan consultation in person.

Practitioner names shown are illustrative for the purposes of this draft site. Final consultant appointments will be confirmed and listed with their MMC registration numbers prior to clinic opening, as required under the Private Healthcare Facilities and Services Act 1998 (Act 586).
03 / Scope of the scan

What a full-body MRI actually covers.

/ § 03.01 Comprehensive tier
Illustrative full-body anatomical rendering with MRI slice panels — cerebrum, cervical spine, thorax, and abdomen/pelvis regions highlighted. Editorial illustration, not a real patient scan.
  • 1
    Head & brain

    Whole-brain MRI including cerebrum, cerebellum, brainstem, and ventricles. Looks for masses, vascular abnormalities, white-matter changes, and structural asymmetries.

  • 2
    Neck & cervical spine

    Cervical vertebrae, spinal cord, lymph node basins, thyroid, and major neck vessels. Catches degenerative spine disease and lymphadenopathy.

  • 3
    Thorax (Comprehensive +)

    Lungs, mediastinum, heart, and great vessels. MRI is excellent for cardiac structure; we add a low-dose CT for lungs in the Platinum tier where MRI is weaker.

  • 4
    Abdomen & pelvis

    Liver, kidneys, pancreas, spleen, adrenal glands, bladder, prostate (men), uterus and ovaries (women). The highest-yield region for incidental findings.

  • 5
    Spine & major joints

    Thoracic and lumbar spine, hips and knees. Identifies disc disease, joint degeneration, and structural abnormalities — common findings, often manageable conservatively.

04 / Packages

Four scan tiers, priced in MYR.

/ § 04.01 SGD indicative · ex GST
[ Tier I ]
Core Scan
Recommended for first-time guests, ages 30–40, or annual follow-up.
RM 1,999
~ SGD 575
  • Head, neck, abdomen, pelvis
  • 1.5T MRI · 60-min scan
  • 30-min consultant consult
  • Same-day written report
[ Tier II ]
Comprehensive
The annual workhorse for proactive guests, age 40+.
RM 8,699
~ SGD 2,499
  • Full-body MRI (head → pelvis)
  • Spine + hips + knees
  • 1.5T or 3.0T as indicated
  • Double-read by 2 consultants
  • 60-min in-person consult
[ Tier III ]
Legacy Ultimate
For the longevity-minded already working with experts.
RM 17,499
~ SGD 4,999
  • Everything in Comprehensive
  • MR angiography (head + neck)
  • Brain volumetrics, brain age
  • Body composition analysis
  • 3.0T-only · 90-min consult
[ Tier IV ]
Legacy Platinum
Our broadest tier — full-body MRI plus a low-dose CT and laboratory biomarker panel.
RM 24,499
~ SGD 6,999
  • Everything in Legacy Ultimate
  • Low-dose CT (heart + lungs)
  • Comprehensive blood biomarker panel
  • 120-min consult · bound report
  • 12-month follow-up reading
05 / The report

Plain-language. Hand-bound. Yours, on the day.

Every guest leaves with a written report — printed and bound on archival paper, returned in a clinic-stamped folder, signed by the reading consultants. The structure follows a strict protocol: clinical context, methodology, findings (region by region), interpretation, and explicit recommendation.

Where a finding is benign, we say so and explain why. Where a follow-up is warranted, we name the specialty, the recommended interval, and our preferred referral partners at Columbia Asia, Mount Elizabeth Novena, or Gleneagles Singapore.

A digital PDF copy is dispatched to your nominated GP or longevity physician within 24 hours, with your written consent.

AEVUM · Diagnostic Imaging Report
REP-2026-04-018
Comprehensive Full-Body MRI
Reference patient · Age 47 · M
Methodology

Whole-body MRI performed on Siemens MAGNETOM Vida (3.0T). T1- and T2-weighted sequences, axial / sagittal / coronal planes. Gadolinium contrast not administered (asymptomatic screening protocol).

Findings

Brain: Normal cerebral volume for age. No mass, no acute infarct. Minimal age-related white matter signal change (Fazekas 1) — normal for age band.

Cervical spine: Mild C5/C6 disc desiccation, no neural foraminal compromise. Common, non-actionable.

Liver: Two simple cysts (≤ 8mm), benign. No further imaging needed.

Other regions: Unremarkable.

Interpretation

Anatomically reassuring scan for a 47-year-old male. Findings noted are benign and do not require follow-up imaging. Recommend re-scan in 12 months for longitudinal baseline.

Illustrative axial brain MRI slices in a fading filmstrip — editorial, not real patient data.
§ 06 · The evidence — honestly stated
06 / The evidence — honestly stated

What we claim · what we don't · what the literature says.

/ § 06.01 Updated April 2026
✓ What we claim

An honest, thorough, expert-read scan.

We claim that a Siemens 3.0T MRI, read by named consultant radiologists, can identify a meaningful number of structural abnormalities — including some early-stage cancers, vascular abnormalities, and degenerative conditions — that may otherwise go undetected for years.

We claim that a 60-minute in-person consultation, conducted by the radiologist who read your scan, is materially better than a printed PDF — particularly for managing the ~32% of asymptomatic scans that surface a benign incidental finding.

Hegenscheid et al., Radiology, 2013 · Lee et al., Radiology, 2024
✗ What we do not claim

It is not a complete diagnostic picture.

We do not claim that a full-body MRI will detect every cancer, every disease, or every potential health issue. Lung adenocarcinoma, for example, is poorly visualised on MRI — we add a low-dose CT for the Platinum tier specifically for this reason.

We do not claim that AEVUM extends life or guarantees outcomes. The published evidence on whole-body MRI as an asymptomatic screening tool remains debated — see the box on the right.

No reasonable provider should claim either of these.
⚖ What the literature says

The professional debate is live, and we engage with it.

The American College of Radiology (ACR) and the Canadian Association of Radiologists (CAR, Sept 2025) explicitly advise against routine asymptomatic whole-body MRI screening, citing high false-positive rates and unproven life-extension benefit.

Our practice engages with this debate directly. We accept that not every patient is a suitable candidate for asymptomatic full-body MRI screening, and we will say so during the intake conversation if we believe so in your case. Where the scan is appropriate, our protocol — consultant double-read, in-person 60-minute consultation, structured incidental-finding management, 12-month re-read — is designed to minimise the harms the literature identifies.

Read the ACR / CAR statements via the Research Panel.
07 / The longitudinal benefit

The first scan is a baseline.
The second scan is when the work begins.

/ § 07.01 12-month re-read protocol
'25 '26 '27 '28 '29 ▲ Baseline tracked

The 12-month re-read is the most underused feature in preventative imaging.

Many preventative-screening clinics deliver the scan and hand over the report at the end of the visit. We do the opposite. Every AEVUM guest is enrolled in a 12-month re-read protocol at the time of their first scan — included as part of the bundled package price for the Comprehensive tier and above, and included for the first year as part of the Core tier package price.

Twelve months later, your prior scan is re-read alongside any new imaging. Subtle changes — a kidney cyst that has grown 2mm, a brain region whose volume has shifted — become visible only against a baseline. Without the comparison, none of this is detectable.

This is the discipline the published evidence actually supports: longitudinal trend, not one-off snapshot. The first scan creates the dataset. Every scan after that uses it.

08 / Inside the clinic

Architectural restraint, deliberately quiet.

/ § 08.01 Imagery brief — see images.html
09 / The facility

Nusajaya, Iskandar Puteri. 25 minutes from the causeway.

/ § 07.01 5 min from RTS Link · end-2026

DB Medical & Wellness Centre

Purpose-built medical suite, 5,000 sq ft, three RF-shielded magnet rooms, on-site emergency capability per Act 586 §38(1). Adjacent to Columbia Asia Hospital — our preferred referral partner for any onward sub-specialist care.

Total area
5,000 sq ft
Three RF-shielded suites
Magnets
2× 1.5T + 1× 3.0T
Siemens MAGNETOM
Concurrent guests
1 / suite
No overlap, ever
From causeway
25 min
5 min via RTS Link

Accreditation & compliance

  • Act 586 · Certificate of Registration

    Private Ambulatory Care Centre licence, issued by MOH/CKAPS.

  • MDA Reliance Program

    All magnets & CT registered under Medical Device Act 2012 via FDA/CE reliance.

  • Act 586 §38(1) · Emergency capability

    Full on-site resuscitative readiness. Mandated, always staffed.

  • Medical malpractice + facility liability

    Comprehensive cover via international panel underwriter.

  • ~
    MSQH Accreditation

    Voluntary international standard. In active application — expected H2 2026.

10 / Common questions

Asked, by guests, before booking. Answered honestly.

/ § 09.01 Updated April 2026
Is full-body MRI safe? Are there any side effects?+

MRI uses strong magnetic fields and radio waves — no ionising radiation, unlike CT or X-ray. There is no known long-term risk from a single MRI scan, and no cumulative dose to track.

The only meaningful exclusions are non-MRI-compatible implants (older pacemakers, certain cochlear implants, some metal fragments). The clinical concierge will screen for these before any appointment is confirmed. Severe claustrophobia can usually be managed with our wide-bore (60–70cm) magnets and an oral mild sedative if needed.

What if you find something that turns out to be nothing?+

This is the most important question — and the reason we built our practice around the post-scan consultation. Roughly 32% of asymptomatic full-body scans surface a benign incidental finding (a small cyst, a tendon irregularity, a soft-tissue shadow).

Without context, this triggers anxiety and unnecessary follow-up testing — what radiologists call the "diagnostic cascade." Our 60-minute consultation exists specifically to de-escalate with evidence: explain what the literature says about findings of that type, what the appropriate interval is for re-imaging (often "none" or "12 months"), and what specifically would warrant escalation.

How is AEVUM different from Prenuvo, Ezra, or Function Health?+

The US disruptors (Prenuvo at US$2,500, Ezra/Function at US$499 since the May 2025 acquisition) operate at scale, with AI-assisted reads and limited radiologist time. Their marketing has been the subject of significant clinical and legal scrutiny — including the Sean Clifford malpractice case (Washington Post, January 2026).

AEVUM operates a different service model: a single guest per magnet at a time, with every Comprehensive-tier and above scan double-read by two consultant radiologists, and a full sixty minutes of in-person consultation included. We do not publish comparisons against the prices of other clinics; the right scan for you depends on your individual clinical context, and we will discuss that openly during your initial intake.

Why Johor Bahru, not Singapore?+

Three reasons. First — there is currently no Prenuvo / Function-style branded longevity MRI clinic in Singapore at this price point. We considered launching in Singapore and were priced out by clinical-radiologist salaries and facility rentals.

Second — the RTS Link launches end-2026, putting AEVUM at a five-minute Uber from Woodlands North. Within twelve months of the link opening, AEVUM will be effectively as accessible as a clinic in Novena.

Third — Malaysia's Medical Device Authority has a "reliance program" that accelerates equipment registration for FDA/CE-approved devices, allowing us to deploy current-generation Siemens magnets without the multi-year certification delay.

Do I need a referral from my GP?+

No. AEVUM is a self-referral preventative service — you can book directly. The clinical concierge will conduct a brief intake to confirm clinical suitability and exclude any contraindications.

If you would like, we are happy to dispatch a copy of your report to your GP, longevity physician, or family doctor within 24 hours of your scan. Many of our guests prefer this — it keeps the record continuous, and your GP knows what to escalate.

How often should I scan?+

For asymptomatic adults, the published evidence supports an annual cadence — sometimes biennial, depending on age and family history. We will recommend an interval as part of your post-scan consultation, based on what we found and your personal context.

The first scan is a baseline. The second scan, twelve months later, is when subtle changes become visible. Without the longitudinal comparison, much of the value of preventative imaging is lost. Every AEVUM guest is enrolled in a 12-month re-read protocol at the time of their first scan.

A quiet clinic corridor — sage accent wall with a 'Radiology Consultation' wayfinding plaque, polished concrete floor, soft linear ceiling lighting.
§ 10 · Reserve a consultation
11 / Reserve a consultation

Begin a conversation. No obligation.

The clinical concierge will respond within one working day, on the channel of your choosing. We will confirm clinical suitability, walk you through the tier options, and answer any questions before any appointment is booked.

If we believe AEVUM is not the right fit for your situation, we will say so and refer you appropriately.

Singapore concierge+65 6602 8282
Emailconcierge@aevum.elitez.asia
WhatsApp+65 8888 8282
HoursMon–Sat · 09:00–19:00
Talk to concierge